More advanced ultrasound techniques may be used when a more detailed image is required. These may give the doctor the information necessary to make a diagnosis if they detected problems during your traditional ultrasound.
A transvaginal ultrasound may be done to produce a clearer image. This ultrasound is more likely to be used during the early stages of pregnancy, when capturing a clear image may be more difficult. For this test, a small ultrasound probe is inserted into the vagina. The probe rests against the back of your vagina while the images are captured.

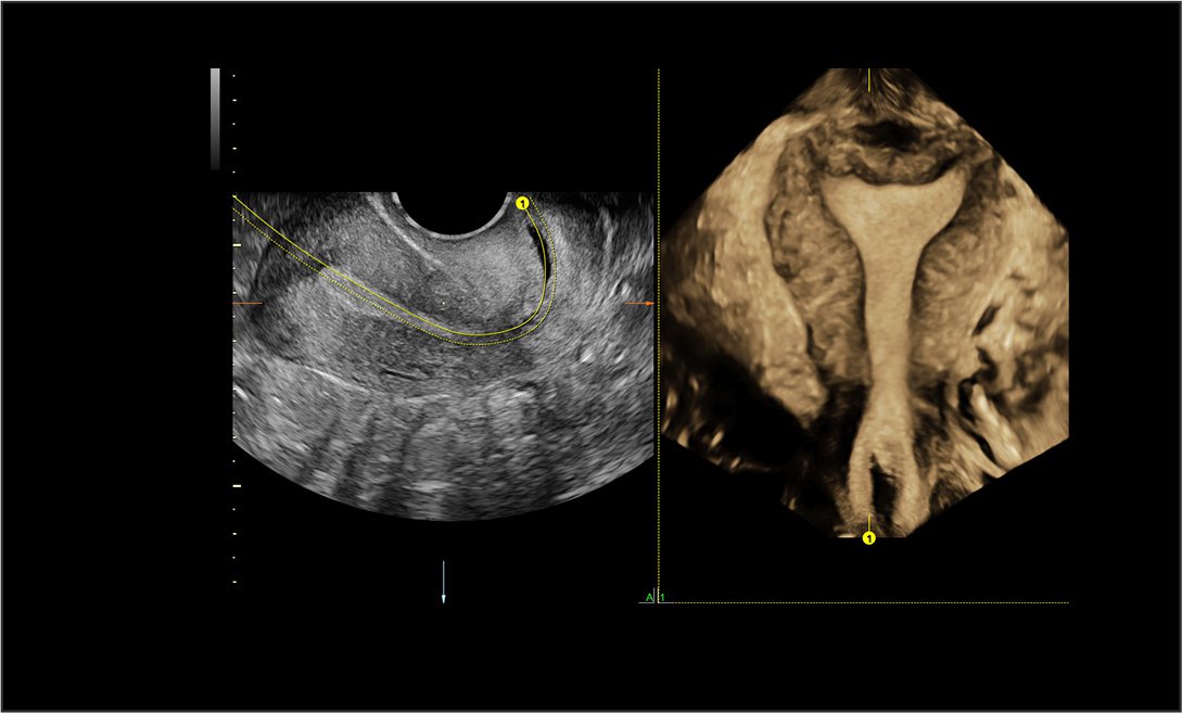
Unlike a traditional 2-D ultrasound, a 3-D ultrasound allows your doctor to see the width, height, and depth of the fetus and your organs. This ultrasound can be especially helpful in diagnosing any suspected problems during your pregnancy.
A 3-D ultrasound follows the same procedure as a standard ultrasound, but it uses a special probe and software to create the 3-D image. It also requires special training for the technician, so it may not be as widely available.

A 4-D ultrasound may also be called a dynamic 3-D ultrasound. Unlike other ultrasounds, a 4-D ultrasound creates a moving video of the fetus. It creates a better image of the baby’s face and movements. It also captures highlights and shadows better. This ultrasound is performed similarly to other ultrasounds, but with special equipment.
